Clone: BS14
Host clonality: mouse monoclonal
Control tissue: kidney, appendix/colon, liver, or basal cell carcinoma
Staining pattern: membranous and cytoplasmic
Regulatory status: IVD, FDA Class I
|
Product code:
|
8337-C010: RTU, 10 capsules; 1 pack
8337-M250: RTU, 250 tests, 1 cartridge; 1 unit
|
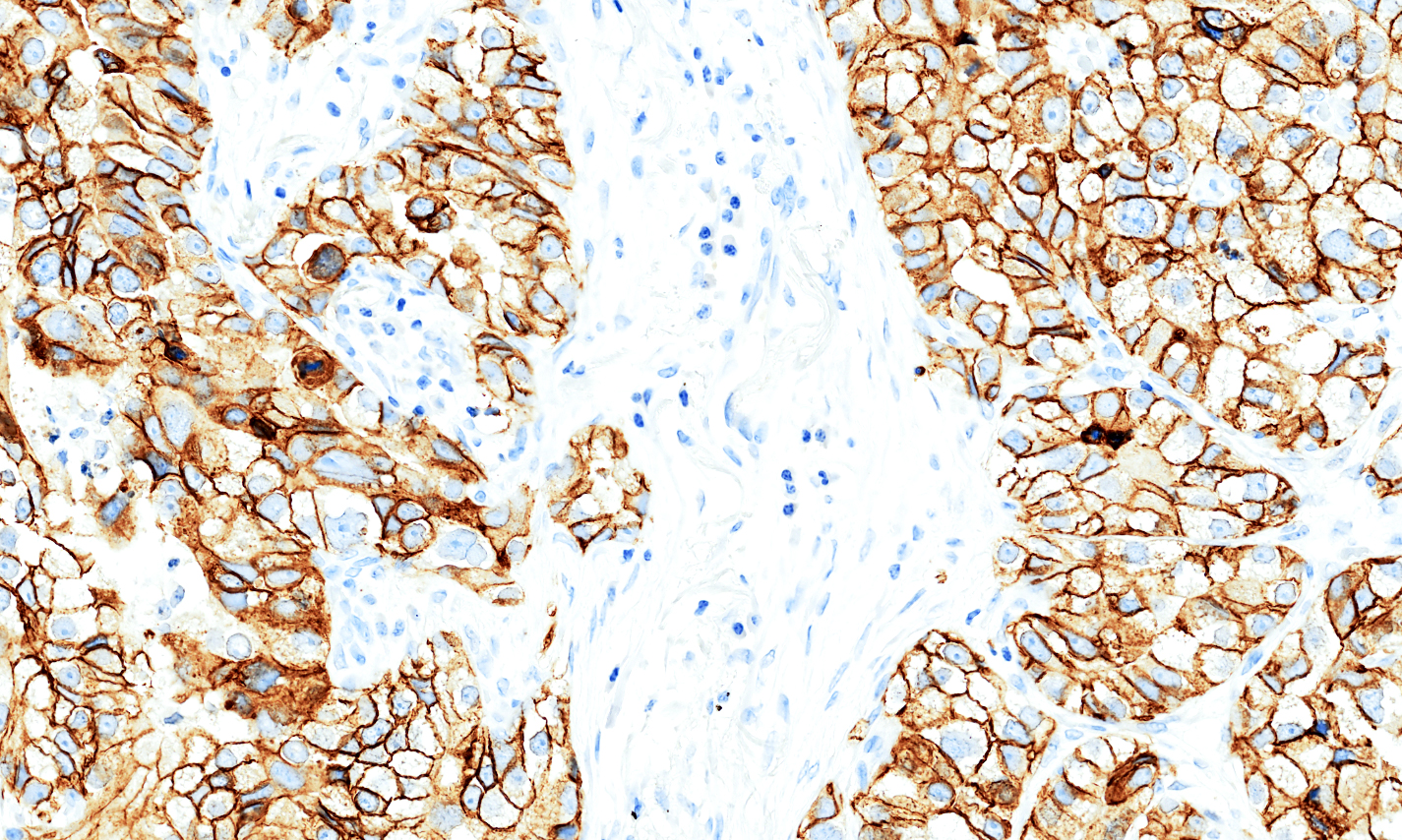
The Tissue-Tek Genie® anti-Epithelial Cell Adhesion Molecule Mouse Monoclonal Antibody [BS14] is designed to qualitatively detect EpCAM protein in formalin-fixed, paraffin-embedded (FFPE) human tissue specimen sections by immunohistochemistry (IHC) staining on the automated Tissue-Tek Genie® Advanced Staining System. This device functions as an aid for diagnosis and shall be used by a qualified pathologist with a panel of other antibodies to differentiate lung adenocarcinoma from mesothelioma and basal cell carcinoma from squamous cell carcinoma. EpCAM expression is commonly found in the majority of adenocarcinomas. However, it is often used to differentiate lung adenocarcinoma from mesotheliomas. However, the lack of EpCAM immunoreactivity has been used to aid in distinguishing pleural mesothelioma from lung adenocarcinomas. In recent studies, EpCAM has also been used to differentiate basal cell carcinomas from squamous cell carcinomas of ectodermal origin.The Tissue-Tek Genie® anti-Epithelial Cell Adhesion Molecule Mouse Monoclonal Antibody [BS14] is designed to qualitatively detect EpCAM protein in formalin-fixed, paraffin-embedded (FFPE) human tissue specimen sections by immunohistochemistry (IHC) staining on the automated Tissue-Tek Genie® Advanced Staining System. This device functions as an aid for diagnosis and shall be used by a qualified pathologist with a panel of other antibodies to differentiate lung adenocarcinoma from mesothelioma and basal cell carcinoma from squamous cell carcinoma. EpCAM expression is commonly found in the majority of adenocarcinomas. However, it is often used to differentiate lung adenocarcinoma from mesotheliomas. However, the lack of EpCAM immunoreactivity has been used to aid in distinguishing pleural mesothelioma from lung adenocarcinomas. In recent studies, EpCAM has also been used to differentiate basal cell carcinomas from squamous cell carcinomas of ectodermal origin.
.jpg?lang=en-US)
Predominantly membranous positivity in the neoplastic cells of basal cell carcinoma.
.jpg)
Moderate to strong, predominantly membranous staining in most epithelial cells of the renal distal convoluted tubules, along with at least weak, predominantly membranous staining in epithelial cells of the proximal tubules and those lining Bowman’s capsule.
.jpg)
Predominantly membranous positivity in the neoplastic cells of lung adenocarcinoma.
.jpg)
No staining in the neoplastic cells of mesothelioma.